DEF Medical Center provides high-quality and innovative services for your healthy smile.
Trust us to take care of your teeth and smile with confidence.
Fedorchuk Yurii
Fedorchuk Svitlana
Kravets Tetiana
Yanitska Diana
Kovpak Liudmyla
Tutushkin Ihor
Therapy
Treatment of caries and restoration of teeth.
Endodontics
Treatment of root canals of teeth.
Surgery
Tooth extraction, gingival and bone plastic surgery, etc.
Implantation
Installation of dental implants.
Periodontology
Treatment and prevention of gum diseases.
Orthopedics
Prosthetics of teeth and dentition with orthopedic structures of various types.
Orthodontics
Alignment of teeth and dentition with braces, aligners and appliances.
Dental manufacturing
Laboratory of orthopedic structures of all types.
Our Cases
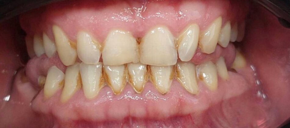
Patient request
The patient is not satisfied with the appearance of her smile. There are old crowns, a missing tooth, old fillings, etc.
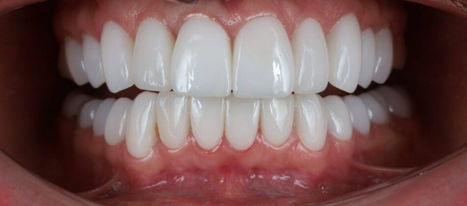
Final result
Comprehensive rehabilitation was carried out by the team of doctors of the clinic:
– Therapeutic treatment (root canal treatment, filling)
– Surgery (bone grafting, surgical lengthening of tooth crowns, implantation)
– Teeth whitening
– Prosthetics with zirconium dioxide crowns.
Result: "Happy and harmonious smile".
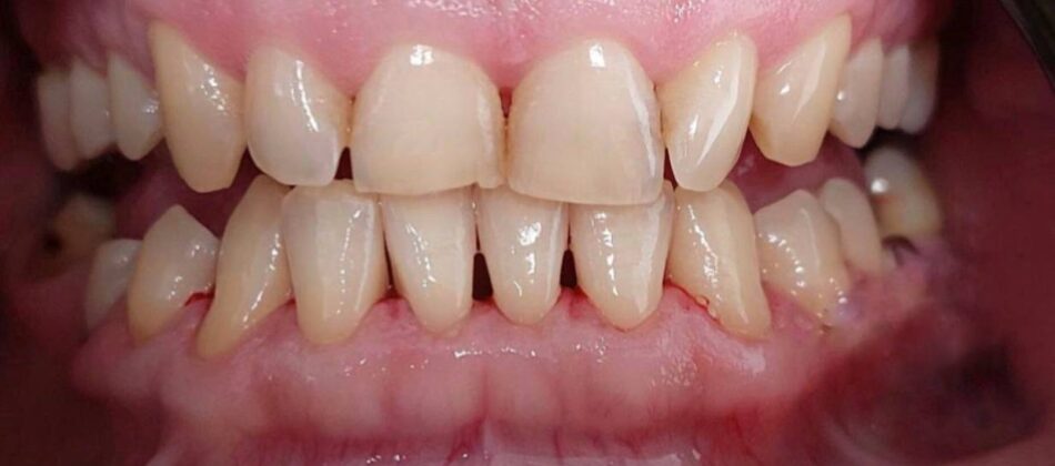
Patient request
The patient is not satisfied with the appearance of her smile (wear, old fillings, discoloration of the teeth).
Final result
The smile was reconstructed with total prosthetics using zirconium dioxide crowns.
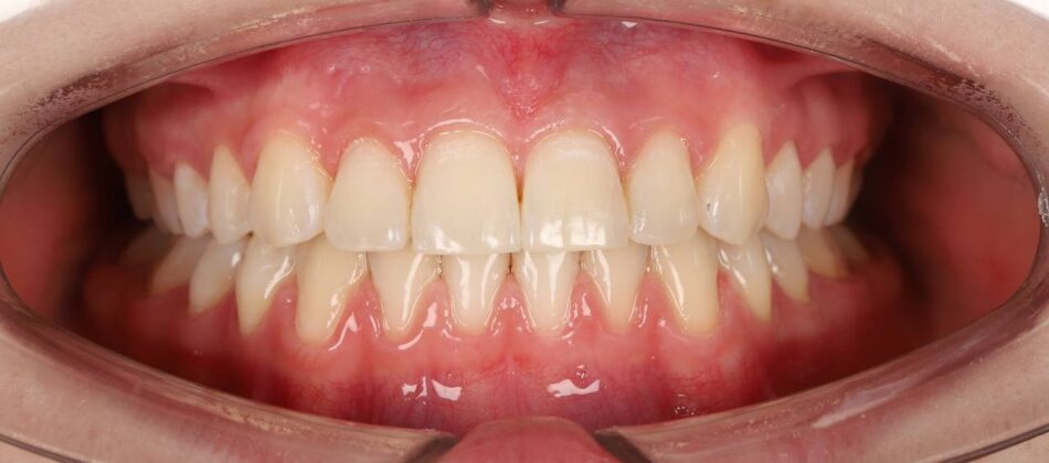
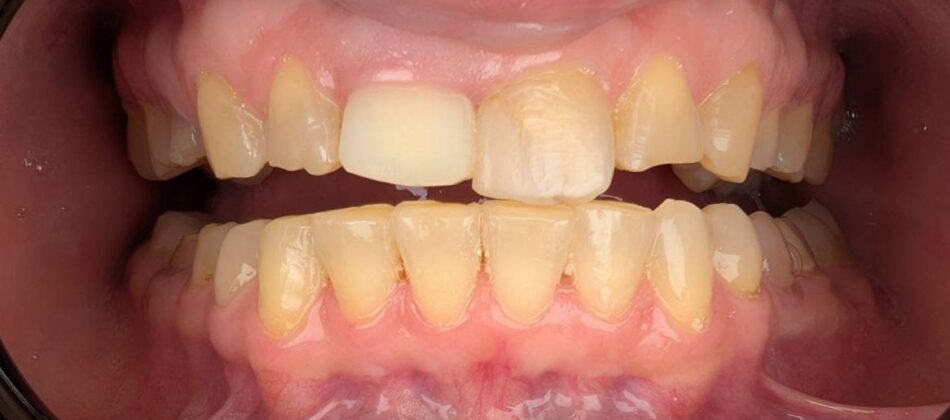
Patient request
In the process of preparing for prosthetics, the patient wished to change the color of all his teeth.
Final result
Bleaching was performed using the APT 10 system.
About Us
Since 2009, when we opened our dental office, we have dreamed of our own clinic with the main principle: “Treat others as ourselves.” In 2021, our dream came true, and now the DEF Dental Clinic offers patients high standards of treatment, including a comfortable waiting area, modern equipment, painless procedures, and our own dental laboratory.
Reviews
Incredible dentistry, thank you very much for the excellent services provided. 🦷
Everything was done perfectly, with high quality and most importantly, carefully selected treatment.
Very good service, I want to come back here and recommend it to everyone.
Prices are reasonable, I would say that I am very satisfied with everything.
I am very grateful that I was once advised this dental clinic – now I want to sincerely recommend it to others. All the staff here are extremely friendly, attentive and professional – from the first minutes you can feel trust and confidence in the right choice.
Under the guidance of Yuriy Mikhailovich (special thanks for the patient explanations to all my questions 😊) I undergo comprehensive treatment from several specialists of the clinic, and at the same time I feel complete coordination in all processes. They help me solve a difficult situation with complications in the area of the roots of the teeth (sincere gratitude to Svetlana Nikolaevna), which other doctors did not really want to take on. Here I also installed implants and had a tooth extracted – everything is at a high level.
Modern equipment, high level of service and attentive attitude fully justify the cost of services.
I am sincerely grateful for the individual approach and professionalism. Here they really care about the patient.
Very professional staff, modern equipment, the clinic is impressive in terms of technology, it has its own X-ray. You are awesome, thank you very much.
The visit to the clinic was successful. I liked everything, the staff is polite.
I completed long-term treatment and prosthetics at the DEF clinic. My situation is far from simple. Gum disease, poor dental condition and because of this, everything in general was quite difficult. Satisfied – to say nothing. I am extremely pleasantly impressed by the professional skills and high professionalism of all the employees involved. Special thanks to Yuri Mikhailovich and Dmitry Romanovich for the work done. I am 200% satisfied. I recommend.
Very nice dental clinic. The equipment is very innovative. All the staff are welcoming. I want to thank the dentist Dmitry Romanovich for his professional work and special thanks to the assistant Maria, who is very caring and attentive to patients🫶🫶🫶
I want to thank Fedorchuk Yuriy Mikhailovich and his team for their high professionalism and responsive attitude! For me, this is the best, most attentive doctor, and this is not the first time I have had implants placed in this institution. Excellent, top-notch work! I have something to compare it to, because I live in New York. Therefore, I confidently recommend Dr. Fedorchuk Yuriy Mikhailovich and his young, but very professional team! The office is conveniently located, the reception hours are well-planned, so there are no queues, and once again I want to emphasize the attentiveness and responsiveness of the staff!
We treat the whole family! Everything is clear, impeccable and high quality! At the highest level!
Special thanks for the humanity and wonderful team!
Professionals in their field, very friendly and welcoming team, I recommend!
I would like to sincerely thank the entire team of DEF dentistry! The staff here is incredibly wonderful – attentive, friendly and true professionals in their field. From the first minute you can feel the care and friendly atmosphere. The doctors explain everything in detail, work carefully and painlessly, which was very important to me. The administrators are always polite and organized.
I only had the best impressions after the visit. I definitely recommend this dentistry to everyone who is looking for quality treatment and a humane attitude!
I have been a patient of this clinic for 20 years. And every visit is:
1. Individual approach.
2. Professionalism.
3. Quality.
My smile and the health of my teeth are very valuable to me, so my choice is DEF
Very grateful to the doctors!
You are the best!❤️
I am very satisfied with my visit to the dental clinic. Professional doctors, attentive attitude and pleasant atmosphere. They explain everything clearly, work carefully and without pain. The equipment is modern, cleanliness and order are at the highest level. I definitely recommend this clinic to everyone who is looking for high-quality and comfortable dentistry!
I have already undergone treatment of caries in this clinic several times. I am very satisfied with the quality of medical services, the level of equipment, the knowledge of the staff, in particular Sofia Nikolaevna, who performed all the operations on me. I am very pleased that in Rivne you can get services of this level without even leaving its borders!
Thank you.
Everything is top notch! My sincere recommendation!
Very good dentistry, the best specialists, they solved all my problems here and selected dental care, the treatment was painless and comfortable😍🤗
They do everything very quickly and skillfully, the staff is very pleasant and polite
Everything is great, very professional
Everything is at the highest level! I am very satisfied with the work of the medical center.
I sincerely thank Svetlana Nikolaevna, administrator Tanyusha and the entire team for professional and high-quality assistance. For the first time I felt not like in a clinic, but like in a SPA salon. The quality of services is at the highest level. The case when I am not afraid to recommend.
Very satisfied with the professional attitude of the doctors, especially grateful to Diana Vasylivna for the quality work and good attitude. ❤️ Medical Center "DEF" is about modern technologies and a high level of professionalism!!!!
I am very pleased that I ended up in this hospital and can recommend it to others ❤️
The DEF Medical Center pleasantly surprised me: everything is clear, painless, and with a human approach. Thank you to the team for the quality work!
Professionals work here! I went for dental treatment on the recommendation of a friend, and now I am a regular client, I recommend it!
Excellent service and competent specialists. The treatment was quick and painless.
Professional approach, attentive doctors and comfort during treatment. Thank you!
Excellent dentistry: professional, comfortable, without unnecessary stress. I recommend!
Very satisfied with the service! Professional doctors, attentive staff and modern equipment. I recommend!
Thank you very much to the "DEF" medical center for your professionalism in your field. It was a great pleasure to visit your center.
I had my wisdom tooth removed by Fedorchuk Yuriy Mikhailovich, and was pleasantly surprised by the doctor's attentiveness, professionalism, and light hand. I did not experience any unpleasant postoperative sensations! Special thanks to the CT diagnostic specialist – Natalka for a very careful and professional manipulation.
Once again, I am pleasantly surprised by the professionalism, efficiency and humanity of the entire staff. Diana Vasylivna and her assistant Ksyushenka – to you ❤️!!! Yuriy Mikhailovich, Svetlana Nikolaevna – your work is priceless! Tanya, the administrator – you are the god of communication ❤️! I recommend!!!
Sincere thanks to Diana Vasylivna, from the bottom of my heart! I am still so delighted after the visit that I simply cannot remain silent. Everything was done professionally, very qualitatively and with such care that it warms my heart. I advise you without a single drop of doubt – this is the best choice!
The best dentistry🥰From the first visit you can feel the care, modern approach and comfortable atmosphere❤️❤️❤️
For many years now, my family and I have been satisfied with the result👌🏼
I recommend it to everyone who appreciates quality and professionalism!
Special thanks to Tanyusha, she is my love❤️❤️❤️
I really like this dental clinic DEF. Everything is great. I have something to compare it to, since I have had my teeth treated in many clinics. It is really great here, I recommend it to everyone.
I can recommend the DEF clinic to everyone who appreciates a high level of service, professionalism, and a sincere and caring attitude towards patients. Special thanks to Fedorchuk Yuriy Mykhailovych and Kovpak Lyudmila Ivanivna, from whom I received high-quality and qualified service in treatment and implantation.
Very good dentistry. I was at the consultation and had my wisdom tooth removed. The doctor explained all the stages of the operation and gave recommendations for care. The removal was quick, almost painless, with good anesthesia. The assistant did her job promptly and professionally, very pleasant attitude towards the patient. I will definitely return to this clinic
I really like the comprehensive approach to treatment at the clinic. A big plus is that you can do all the examinations and even a CT scan at the clinic. Everything is fast and convenient!
Wonderful clinic and wonderful doctors!! Thank you Diana Vasylivna 🫶🏼🫶🏼
Thank you very much to the clinic 🤗 I love coming to you 🥰 my doctor does everything very carefully and with high quality ♥️♥️♥️
Super
Thank you very much for your highly qualified help. We have been coming here for more than one year as a family!
Excellent specialists and service!
Professional and high quality.
Professionals in their field, high service, I recommend!!!
I was at an appointment with Tutushkin Igor Vasilyevich, everything was done at the highest level, I recommend this clinic for treatment!
The best clinic for dental treatment! I definitely recommend it. I had a big problem from birth, and this clinic approached the solution comprehensively and successfully!
Payment can be made in dollars or euros at the exchange rate on the day medical services are provided.
Team


Plays an important role in supporting the effective work of the team, ensuring harmonious interaction between all participants.


Ensures patient comfort and dentist efficiency, has a high level of attention to detail and participates in teamwork.


A highly qualified medical professional who organizes and controls processes during surgical interventions. Her tasks include preparing the operating room, assisting the surgeon, and ensuring sterility and patient safety.


Assists the dentist in daily work, ensuring patient comfort, efficiency of procedures, and proper organization of the workplace.


She works primarily in a laboratory, using specialized high-tech equipment and tools, and works closely with dentists to achieve the best results for the patient.



















